TOMADO EL IMPARCIAL
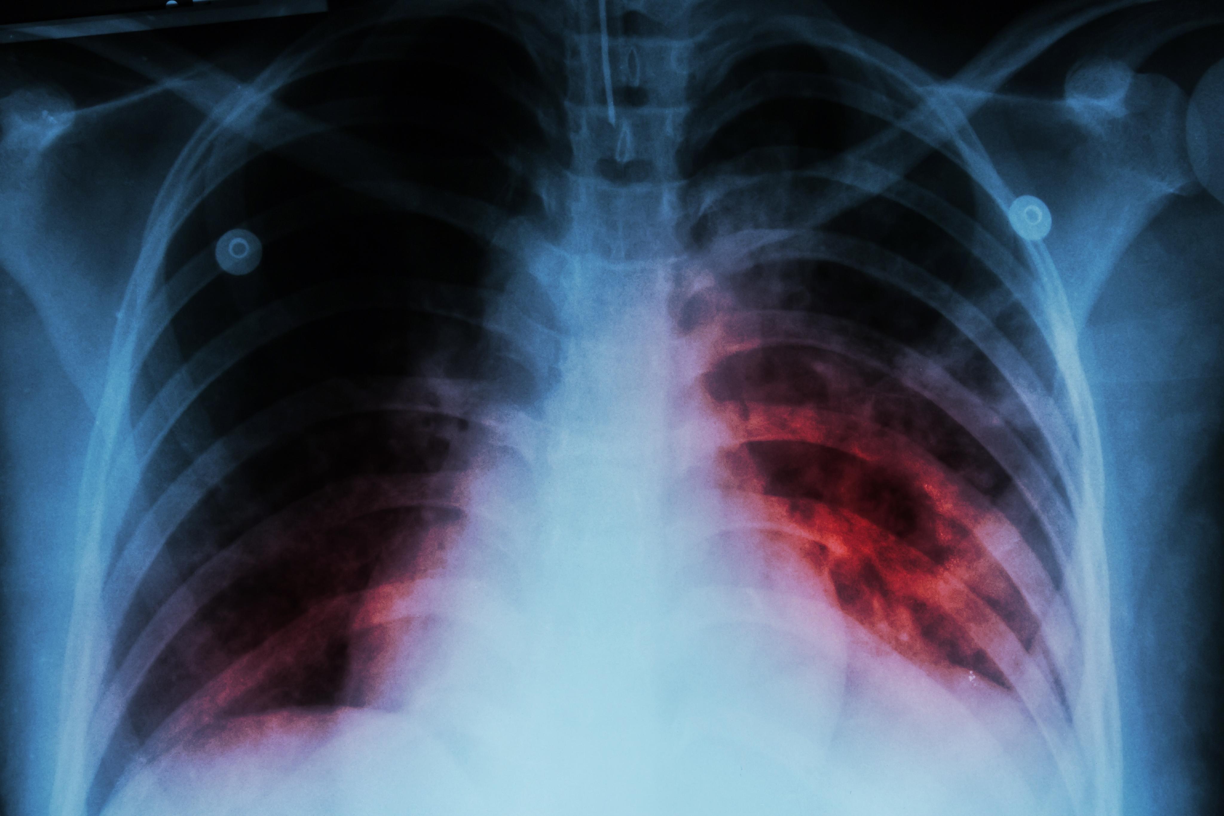
Sonora. — Sonora registra mil 322 casos de tuberculosis respiratoria en este 2025, y Hermosillo concentra más de la mitad, con el 51.2% del total, de acuerdo con el Sistema Único de Información para la Vigilancia Epidemiológica (Suive) de la Secretaría de Salud.
Entre los municipios más afectados del Estado, Hermosillo encabeza la lista con 675 registros, seguido por Cajeme con 118 casos, San Luis Río Colorado (SLRC) con 114, y Huatabampo y Navojoa con 67, según la última actualización de la Semana Epidemiológica 29, que abarca hasta el 19 de julio de 2025.
Ante el caso confirmado de tuberculosis de una estudiante de la Universidad de Sonora, el infectólogo Dr. Alejandro González Mares advirtió que Sonora es el segundo estado a nivel nacional con la tasa más alta de casos de tuberculosis por habitante.
Resaltó que hay municipios con alta incidencia, como Hermosillo, con hasta 200 casos nuevos cada año, así como Guaymas y Nogales, con al menos 100 casos anuales.
Es importante señalar que una persona que tiene tuberculosis puede o va a infectar entre uno y cuatro personas más, y si no reciben tratamiento, estas personas podrían llegar a infectar hasta 20 personas más en un año,— advirtió González Mares.
Riesgos de contagio
El especialista explicó que la bacteria de la tuberculosis se dispersa en el aire en pequeños aerosoles cuando una persona infectada tose o estornuda, pudiendo permanecer en el ambiente hasta 15 minutos en una habitación pequeña.
Las personas infectadas deben aislarse en lugares bien ventilados durante cuatro a seis semanas, hasta que las pruebas sean negativas y estén bajo tratamiento, precisó el infectólogo.
Agregó que ante un caso confirmado, se recomienda que las personas que estuvieron en contacto acudan a revisión médica si presentan pérdida de peso inexplicable, fiebre vespertina o nocturna por más de una semana, sudoración profusa nocturna y tos persistente por más de 15 días que no mejora con medicamentos.
VER NOTA COMPLETA EN:
